Call us:
+91 98240 36131
Email:
drjjpatwa@yahoo.co.in
Connect With Us :
Toggle Navigation
Home
About Us
Useful Links
A) Videos
Open Wedge Lock Step Plate
Antegrade Femoral Nail
High Tibial Osteotomy
Thromboangitis Obliterans
Polio
B) Steps of surgery
H-Q Transfer
Peroneal translocation
Tibialisation of Fibula
Flexion Deformity Correction
Telipes Equino Varus Foot Deformity(Midpath)
CMC Joint Arthritis
Flexible nailing (Humerus, Femur, Tibia)
C ) Books
An operative manual for proximal femur
Master cases of ilizarov
Osteotomies in Orthopaedics ( under preparation)
D ) Algorithm of polio
Hip
Knee
Foot
E ) Various important lectures
Antegrade Femoral Nailing
Basic Principle’s Of Sarmiento Functional Fracture Bracing & A O Technique
Biogeometry Of Proximal Femur In Relation With
Desired Design For Fixation Of Unstable Fractures
Cmc Joint Arthritis
Controversies In Management Of Unstable Fracture Of Proximal Femur
Congenital Pseudoarthrosis Tibia (Cpt)
Decision Making In Proximal Femoral Fracture
Delayed Union And Non Union
Difficult Non Unions Treated By Ilizarov Technique
Fractures Of Proximal Femur Intramedullary Fixation Ender Nail
How To Manage A POLYTRAUMA PATIENT
Ilizarov In Humerus
Ilizarov information for GP and others
Infection After Nailing
E ) Various important lectures
Infected Non Union Of Fracture Tibia And Its Management
Innovative Use Of Bb Joshi Fixator
Is Afn A Better Implant For Fracture Fixation Of Proximal Femur
Management Of Neglected Tev
Osteotomies For Malunited Tibia
Spinal Stabilization By Pedicular Screw
Spinal Stabilization Evolution
Limb Discrepancy Corrected Ilizarov
Intra Medulary Nailing Humerus
Management Of Infected Nonunion
Management Of Neglected TEV
Management Of Soft Tissue Injury
Minimal Invasive Surgery For Tibia Pilon Fracture By JESS
Morden Medial Open Wedge Osteotomy For Medial Compartment Osteoarthritis
E ) Various important lectures
Osteotomies For Malunited Tibia
Pilon Plafond Fractures- Recent Trends
Prelimanary Report For Management Of Gunshot Injury
Role Of Orthopaedic Surgeon In Crush Injury
Septic Non Union Of Femoral Shaft
Morden High Tibial Osteotomy
Unstable Fracture Proximal Femur
Value Of Lateral Distraction In Longitudinally Splitted Tibia In Improving
Vascularity In Chronic Non-Reconstructable Vascular Insuficiency
Why, When, Where Limb Lengthening
Orthopaedic Surgery In Young Polio Survivor
Peronial Translocation
Hamstring Transfer For Residual Polio Paralysis
F ) Eye catching cases
HTO
HTO Ilizarov
Knee Deformity
Limb Lengthening
Non Union Tibia
Non Union Femur
Pseudoarthrosis Tibia
TAO
TEV
Tibialisation Of Fibula
Wrist Deformity Correction
G ) Guidance for Ilizarov cases
Your quaries please?
Feedback
Contact Us
Dr. J.J. Patwa has entitled "MASTER CASES OF ILIZAROV" and He has also vast experience of 35 years in the field of orthopaedic.
Dr. J J Patwa
has Done Highest No. of Cases in the World like 5000 Cases in Polio, 267 Cases in H-Q Transfer, 72 Cases in Peroneal Translocation, 50 Cases in Infected Gap Non-Union of Femur and 60 Cases in Followup of Burgers Disease.
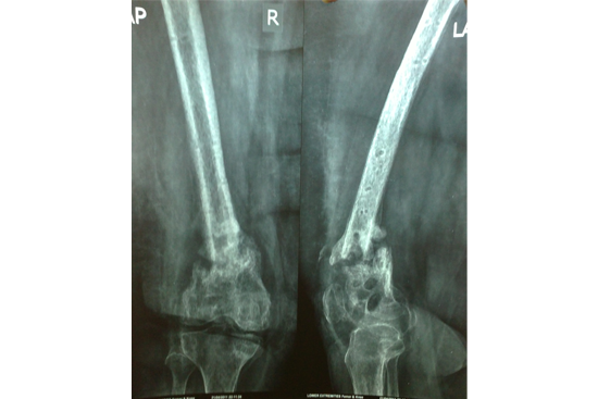
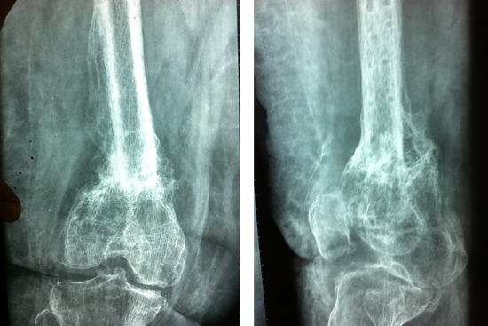
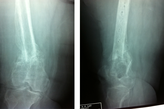
Non Union Femur
Case 1
Case 2 (Rampyari)
×
❮
❯