Connect With Us :      

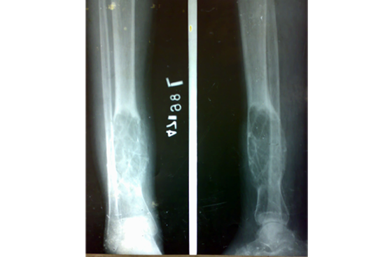
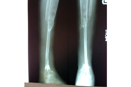
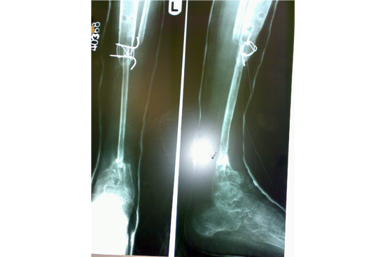
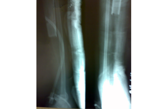
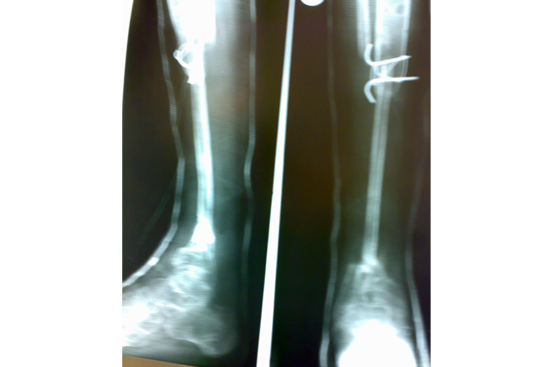
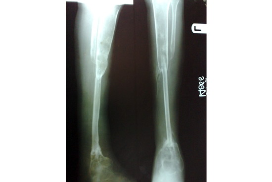
Tibialisation of Fibula

Method


We have done Huntington technique by stage ilizarov procedure. Here is the diagrammatic representation of our method.